首页>寻医·问药>名家健坛名家健坛
大脑里的液体从鼻腔流出怎么办
说起“脑脊液鼻漏”这个病,可能很多身体健康的朋友并不熟悉,脑脊液是什么?鼻漏是怎么回事?而做过脑部手术的患者对这个病都很清楚,虽然并不一定会发生在自己身上,但是医生在术前手术风险告知里边都会提到这个并发症。通俗的说,脑脊液鼻漏就是大脑里边的液体从鼻孔流出来,而且可能会经常流。
那为什么会发生脑脊液鼻漏?脑脊液鼻漏会有什么危险吗?有没有什么好办法可以堵住不让它漏呢?先来看首都医科大学三博脑科医院神经内镜中心的病例。

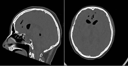
术前CT可见鞍底骨质缺损,颅内积气
今年28岁的王女士几年前因为月经不调,右眼视力下降,到当地医院做检查,发现大脑里长有垂体瘤,在外院做了开颅手术,术中肿瘤有残留未全切。2013年又做了显微镜下经蝶手术,将上次剩余的肿瘤全部切除,手术后王女士状况很好,每年都按时复查,肿瘤没有复发。到了2017年8月,有次低头干活的时候出现脑脊液鼻漏(右侧鼻腔),开始量比较少,时有时无,王女士没有在意。后来逐渐加重,量越来越多,次数也更加频繁,低头后就出现液体从鼻腔流出,平躺时没事,王女士于是在2018年6月去医院就诊,医生说她经鼻子手术后都5年了,继发脑脊液鼻漏的可能性不大,先观察看看。今年2月初,王女士在家中洗澡后发生头痛,然后出现高烧,对症治疗后稍有好转,可是不久就出现了意识障碍,不认识家里人,对外界刺激没有任何反应。家人急忙将她送到医院救治。王女士在当地医院住院18天情况没有好转,在医生的联系下转到首都医科大学三博脑科医院治疗。
三博神经内镜中心任铭主任了解病情后,判断患者很可能是迟发性脑脊液鼻漏,鼻漏逆行感染引发了颅内感染。王女士入院后化验提示脑脊液白细胞升高,蛋白增高,葡萄糖和氯化物降低,头颅CT可见鞍底骨质缺损,颅内积气,核磁显示右侧枕角少量积脓。检查结果证实了任铭主任的判断,患者脑膜炎、颅内感染,导致意识障碍。而发生颅内感染的原因就跟脑脊液鼻漏有关,鼻腔的病菌和外界的气体经漏口进入了颅内。
任铭主任表示:患者脑脊液漏持续1年多,且有颅内感染征象,需要尽快手术治疗,手术目的是修补脑脊液漏口,修复机体与外界的屏障。手术修补常见的有开颅及经鼻两种入路?;颊呒韧酱问质跏?,头颅CT提示鞍底缺损,蝶窦开放,第二次行显微镜经鼻入路垂体瘤切除术,粘膜瓣应该仍然尚存,因此这次手术可行内镜下经鼻入路脑脊液漏修补术,争取一次修补成功,防止以后脑脊液鼻漏再次发生,然后再给予患者积极抗感染治疗才能有效。
任铭主任介绍:常用的脑脊液鼻漏修补是用肌肉、筋膜、脂肪等自体组织或医用合成修复材料等铺盖漏口,实施压迫,或用生物胶粘合,这种修补方法虽然也是多层修补,但是并不十分牢固,因为所有的修补材料都是离体状态的,离体的组织缺乏血运,可以出现修复材料生长不良甚至坏死。本例患者在手术中采用新的“三明治”封堵法,在显露右侧蝶窦开口后,首先制作带蒂右侧鼻中隔粘膜瓣,翻转后置鼻咽部备用,然后磨除蝶骨嘴及蝶窦腹侧壁进入窦腔,去除窦内瘢痕组织及前次手术填塞物,充分暴露鞍底骨质缺损区,去除周边粘膜及纤维增生组织露出光滑的骨面,镜下探查术区,仔细寻找漏口,确认唯一漏口后覆盖可吸收人工硬膜,取鼻中隔骨片嵌入破损区行颅底重建,最后将备好的带蒂右侧鼻中隔粘膜瓣广泛贴覆于鞍底骨质表面,生物胶封固。整个封堵过程需要用三层材料,一层一层覆盖压迫,所以形象的称为“三明治”封堵法。手术共用时1个小时顺利结束。任铭主任强调,这种方法修补鼻漏牢固安全,可以实现“一劳永逸”,重建的组织一个月后就能全部长好,三个月后患者可以乘坐飞机。

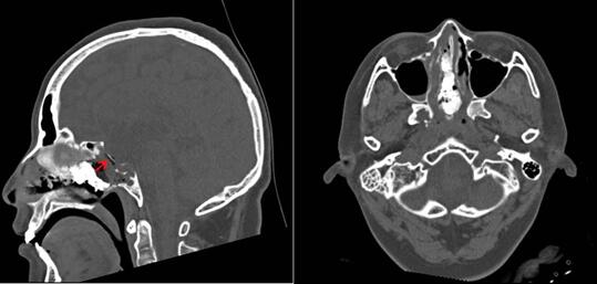
术后CT可见鞍底骨性重建(红箭头所示)
手术修补成功后,医生们对王女士的颅内感染悉心治疗,给予持续腰大池引流,并静点抗生素,王女士很快就清醒过来,情况一天比一天好,康复出院。
任铭主任介绍,像王女士这样的情况,脑脊液鼻漏合并颅内感染,一定要先堵漏,再消炎,同时给予腰大池引流,将炎性脑脊液都引流出来,患者就会渐渐康复。脑脊液鼻漏是脑脊液通过颅底或其他部位骨质缺损处流出,经过鼻腔,最终流出体外。原因多为创伤引起,可在数天、数周或数年后出现,主要表现为鼻腔间断或持续流出清亮、水样液体。保守治疗时要卧床休息,半坐位,防止感冒,保持大便通畅,不要行屏气、擤鼻及咳嗽等增加颅内压动作;保持鼻腔局部清洁及脑脊液流出畅通,避免局部堵塞导致脑脊液逆流,同时应用抗生素,对于保守治疗无效者,应积极采取手术治疗封堵漏口。目前成熟的漏口修补方法为神经内镜下“三明治”修补法,关键修补层次为三层:硬膜下嵌入漏口层、硬膜外贴覆层,和带蒂粘膜瓣骨面贴覆层,尤其最后一层粘膜瓣贴覆层由于是带血运的组织,因而愈合能力大大提高。本例患者由于5年后出现鼻漏,考虑与前次手术鞍底骨质缺损,缺乏骨性支撑有关,因而我们取鼻中隔的薄骨片为患者同时进行了颅底骨性重建。(李亚静)
编辑:董雨吉
关键词:脑脊液 手术 鼻漏


走进塔吉克斯坦纳乌鲁兹宫
也门霍乱病例激增
2019亚洲商务航空大会及展览会开幕
世界园林巡礼——日本大宫盆栽美术馆
巴黎圣母院:浩劫之后
鄱阳湖畔的瓜田“跑道”
唐山港一季度吞吐量超1.6亿吨
法蒂玛·马合木提
王召明
王霞
辜胜阻
聂震宁
钱学明
孟青录
郭晋云
许进
李健
覺醒法師
吕凤鼎
贺铿
金曼
黄维义
关牧村
陈华
陈景秋
秦百兰
张自立
郭松海
李兰
房兴耀
池慧
柳斌杰
曹义孙
毛新宇
詹国枢
朱永新
张晓梅
焦加良
张连起
龙墨
王名
何水法
李延生
巩汉林
李胜素
施杰
王亚非
艾克拜尔·米吉提
姚爱兴
贾宝兰
谢卫
汤素兰
黄信阳
张其成
潘鲁生
冯丹藜
艾克拜尔·米吉提
袁熙坤
毛新宇
学诚法师
宗立成
梁凤仪
施 杰
张晓梅


