首页>要闻>沸点 沸点

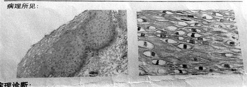
2016年11月10日第一张病理报告

2016年11月24日第二张病理报告
马上就要过年了,杭州余杭的张女士却高兴不起来。
今年53岁的张女士,前年春天查出宫颈癌并接受了手术;去年11月复查,医生告诉她,癌症又复发了,还是恶性程度很高的低分化癌。她接受了医生的建议,马上开始放、化疗??伤?,才做了两次放疗,医生突然告诉她,病理诊断可能出错了,治疗叫停。
没复发?当然庆幸,但庆幸之余,张女士又生气又失望:担惊受怕一个月,全家的生活都乱套了。她希望医院调查后,给一个说法。近两个月以来,张女士和家人一直在和医院交涉,但对院方给出的解释,他们不理解也不满意。最近,张女士找到了钱江晚报记者。
张女士正做着化疗,护士突然说治疗停下来
上周日,钱报记者见到了张女士。
她穿着黑色的长款羽绒衣,背双肩包,很显年轻的打扮;一见到钱报记者就笑眯眯地打招呼,气色和精神面貌都很好,一点看不出是癌症患者。
一坐下来,她就从包里掏出病理报告、出院记录等资料,讲起了自己的就诊经历。
2015年4月,她在位于杭州的一家专科大医院做了宫颈癌手术,子宫、双侧附件都被切掉了。术后诊断,宫颈癌IB1期,医生告诉她不用做放、化疗,定期复查即可。
之后,她每3个月就去医院复查一次,都没有异常,直到2016年11月。
这次阴道镜检查发现HPV亚临床感染,医生建议她做个病理切片。11月8日,病理检查结果出来了,诊断为:低分化癌伴坏死及部分区退变。
六神无主的张女士,在儿子儿媳的陪同下又去了这家医院。他们找了一位姓杨的专家,杨医生建议她尽快手术;她又找了第一次给她做手术的陈医生,陈医生则建议她尽快接受放、化疗。
两位专家,两类不同治疗方案,听谁的?家里人商量了一下,决定再去上海。
3天后,儿子陪着张女士去了复旦大学附属肿瘤医院,找妇科专家程玺。看了他们带来的病理报告(上面附有切片图像),程医生的建议是尽快放、化疗。
3位医生,2位支持放、化疗,那就回杭州做放、化疗吧。
11月21日,张女士在出具这一病理报告的医院办了入院手续。21日、22日,接受了两次放疗后,医生通知她23日早上接受化疗,但这次化疗结束后,还需要继续第三次放疗。
23日那天,张女士接受化疗刚挂上了第三袋药水,护士突然走进来。张女士记得很清楚,当时护士嘀咕了一句“不是不挂了么?”语气有些意外。
“我听了有些急了,难道我身体那么差?化疗都做不了?”张女士听了心里有些不安。
过了一会儿,医生进来了,告诉张女士,病理报告可能有误,需要停止正在进行的化疗。
钱报记者翻看了张女士带来的出院记录,上面写着,接到病理科通知,患者病理切片需要重新阅片,故停止同步放、化疗。
追问了那么多次,为什么没人说再查一遍?
当天,医生带着张女士又做了一次病理检查,第二天出具的病理报告上,医生修正了报告:目前肿瘤诊断证据不充分,不予继续治疗,密切随访。
张女士没办出院手续,直接回家了,心里窝着一肚子火,“第一次说癌,我还不急,这一次真的崩溃了?!彼匾洌羌柑?,家里吃饭静悄悄的,大儿子陪她聊天,说起自己的工作、未来的打算,她心里更难受,“苦了那么多年,拼了那么多年,儿子出山了,我没福享了?!彼蠖铀?,妈妈有个万一,你要照顾好弟弟。
担惊受怕一个月,张女士百思不得其解,相当于癌症判决书的病理报告,怎么能出错?
她回忆起一个细节,杨医生看到第一张病理报告时,马上给病理科打了电话,找报告上签字的余医生,但余医生人不在。
“会不会当时杨医生就有怀疑,我之前是早期鳞癌,这次复发怎么变得那么恶性?”张女士觉得,如果医生有疑义,当时就应该搞清楚,她就不必白白吃放疗的射线了。
“我们曾多次询问医生,怎么复发得那么严重?但没有医务人员在给我们治疗前再复查?!贝蠖悠菹壬哺嫠咔钦?,前面血液查出来,几个指标阳性,心里还有一道防线,病理报告一出来,感觉最后的希望没了。医生都说病理检查结果是金标准,对癌症的判断是一锺定音的。
编辑:周佳佳

 
  
				
				 
				
				 
				
				 
				
				 
				 
				 
				 
				 
					 
					 
				 
				 
				 
				 
				 
				 
				 
				 
				 
				 
				