首页>社情·民意>你言我语 你言我语
小伙误食笔帽致左肺失踪 盘点误吸入肺的那些五花八门“偷肺贼”
原题:偷肺笔帽:20年前呛入肺部笔帽致小伙左肺不见了——来源:深港在线
导读:【偷肺笔帽】误食笔帽致左肺失踪 小伙经历瘆人左肺“失踪”,左胸廓出现塌陷,左支气管不仅全堵还露出了一点明显不属于人体组织的东西!这听上去让人“?得慌”的案情,竟发生在一个壮小伙身上。
左肺“失踪”,左胸廓出现塌陷,左支气管不仅全堵还露出了一点明显不属于人体组织的东西!这听上去让人“?得慌”的案情,竟发生在一个壮小伙身上。
究竟是谁偷走了小伙子的肺?上周,在浙江大学医学院附属邵逸夫医院呼吸内科,“破案”似的诊治在陈恩国主任医师的指导下紧张进行。在经过专家们小心翼翼地排查和操作后,真相浮出水面——原来一个被血肉包裹的笔帽,成为了“偷”走小伙子左肺的罪魁祸首。
32岁小伙的左肺不见了
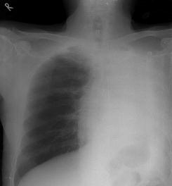
上周,32岁的余杭小伙张某因持续不好的感冒走进了邵逸夫医院的大门。大家都知道,感冒大多属于呼吸道疾病,拍胸片属于常规检查??赡玫搅顺9嫘仄幸缴枷帕艘惶?,不常规的事情发生了:从胸片上来看,他的左肺一片空白,是个白肺!看上去左肺就跟被“偷走”了一样。
看着医生们惊讶的表情和急切的询问,小张也是丈二和尚摸不着头脑,他急忙解释:“这些年,我从来没感到过胸闷气急,也没有其他肺部毛病。”
那么,他的左肺去哪儿了?
随后的体检发现小张的两侧胸廓不对称,左侧胸廓明显塌陷,说明这种情况绝不是短时间才会形成。
什么情况才会引起一位身强力壮的年轻人左肺全部丧失而他本人又没任何察觉?带着疑问,呼吸内科陈恩国主任医师给他进行了支气管镜检查。
“我们检查发现,小伙子的左侧支气管完全堵塞了,其中一半是管壁塌陷,另一半是个球状的新生物。”陈恩国说。
更离奇的事情还在后面。在经过支气管镜使用高频电圈套切除新生物后,让在场医务人员惊讶的是,底下露出了一点明显不属于人体组织的东西!
究竟是什么东西呢?陈恩国反复追问小张是否曾经有过进食后呛咳的经历,小张断然否认。
20年前的小笔帽竟是“偷肺贼”
是什么东西能不知不觉进入小伙子体内又不让他察觉?看来只有把它取出来才能水落石出。
编辑:水灵
关键词:误食笔帽致左肺失踪 偷肺贼 哨子误吸入肺卡了24年
 
       
 


 “超级月亮”现身堪培拉
“超级月亮”现身堪培拉 特朗普发表其执政以来的首次国情咨文演讲
特朗普发表其执政以来的首次国情咨文演讲 保障春运
保障春运 “欢乐春节”挪威首演闪耀北极光艺术节
“欢乐春节”挪威首演闪耀北极光艺术节 靓丽海冰
靓丽海冰 春运路上有了“列车医生”
春运路上有了“列车医生” 阿富汗官员:应抓住机遇积极参与“一带一路”建设
阿富汗官员:应抓住机遇积极参与“一带一路”建设 英国首相特雷莎·梅到访武汉大学
英国首相特雷莎·梅到访武汉大学
 法蒂玛·马合木提
法蒂玛·马合木提 王召明
王召明 王霞
王霞 辜胜阻
辜胜阻 聂震宁
聂震宁 钱学明
钱学明 孟青录
孟青录 郭晋云
郭晋云 许进
许进 李健
李健 覺醒法師
覺醒法師 吕凤鼎
吕凤鼎 贺铿
贺铿 金曼
金曼 黄维义
黄维义 关牧村
关牧村 陈华
陈华 陈景秋
陈景秋 秦百兰
秦百兰 张自立
张自立 郭松海
郭松海 李兰
李兰 房兴耀
房兴耀 池慧
池慧 柳斌杰
柳斌杰 曹义孙
曹义孙 毛新宇
毛新宇 詹国枢
詹国枢 朱永新
朱永新 张晓梅
张晓梅 焦加良
焦加良 张连起
张连起 龙墨
龙墨 王名
王名 何水法
何水法 李延生
李延生 巩汉林
巩汉林 李胜素
李胜素 施杰
施杰 王亚非
王亚非 艾克拜尔·米吉提
艾克拜尔·米吉提 姚爱兴
姚爱兴 贾宝兰
贾宝兰 谢卫
谢卫 汤素兰
汤素兰 黄信阳
黄信阳 张其成
张其成 潘鲁生
潘鲁生 冯丹藜
冯丹藜 艾克拜尔·米吉提
艾克拜尔·米吉提 袁熙坤
袁熙坤 毛新宇
毛新宇 学诚法师
学诚法师 宗立成
宗立成 梁凤仪
梁凤仪 施 杰
施 杰 张晓梅
张晓梅


