广州喝茶工作室,同城空降服务同城附近喝茶网 ,qq官方月抛群入口,全国伴游大圈招聘全球高端私人定制社交平台

首页>要闻>沸点 沸点

六旬老太多年前误吞一假牙 咳嗽十余年左肺"消失"

2017年06月20日 09:39 | 来源:扬子晚报
分享到: 

阿姨咳嗽十几年,把左肺咳“没”了?

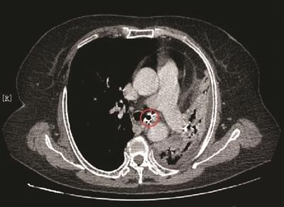
CT片上的金属影原来是颗假牙。

咳嗽了十几年,一直查不出原因,最近一次检查,CT片上左肺竟然完全“消失”,这件蹊跷事落在了60岁的李阿姨身上。难道是咳嗽太久把肺咳没了?带着重重疑惑,李阿姨辗转多家医院,终于在江苏省中医院找到了答案,竟然是多年前误吞了一颗假牙惹的祸。

咳嗽十几年,把左肺咳“没”了

家住淮安金湖县的李阿姨从十几年前开始,经常出现阵发性咳嗽,一直没能查明病因。更糟的是在今年4月的一次体检中,李阿姨的CT片上竟完全看不到左肺。李阿姨和家人一同辗转多家医院想查明原因,最终在当地一家医院查出其胸骨后长了一个巨大甲状腺肿,拳头大小的肿块严重压迫着气管,医生怀疑这有可能是咳嗽多年的原因。

然而由于甲状腺肿体型较大,又长在胸骨后,手术难度非常大,跑了多家医院,医生均表示无法手术。就在走投无路之际,李阿姨的家人打听到江苏省中医院实施此类手术经验丰富,抱着一线希望,李阿姨住进了省中医院普外科。

CT片里藏秘密,另有“真凶”

在术前评估中,省中医院的专家们发现病情有些奇怪。“虽然检查发现胸骨后确有巨大甲状腺肿并压迫了气管,但根据我们多年的临床经验,如此巨大甲状腺肿不至于引起患者咳嗽十几年,严重到CT片上看不到左肺影像?!逼胀饪聘敝魅我绞Υ骱樯浇樯芩?,“更加奇怪的是,患者左支气管入口处有金属影,不像之前其他医院认为的血管钙化影?!?/p>

带着疑问,医生多次询问李阿姨,然而她一口咬定没做过肺部手术,也从没有误吞过异物。为了谨慎起见,医院组织放射科、呼吸科等多学科专家联合会诊,专家一致认为,患者左支气管内有1.5厘米的金属影,异物滑落的可能性很大。

肺里异物会“跑”,取出过程惊心动魄

随后,呼吸科朱际平副主任医师为患者实施支气管镜下气管异物取出术。从电子支气管镜中,清楚地看到左支气管入口被一团黄色异物堵得严严实实,从异物中伸出的两个金属钩将其挂在气管壁上。

果然左肺内有异物!正当专家们为查明原因感到高兴,准备将异物取出时,意外发生了!患者突然一阵咳嗽,巨大的气流瞬间把黄色异物从左肺冲入了右肺,将右支气管内入口堵住了,情况十分危急!呼吸科周贤梅主任、麻醉科郑曼主任、普外科戴洪山主任当即决定,立即开通绿色通道,在麻醉状态下完成异物取出。所幸有惊无险,在多科专家联手合作下,异物被顺利取出。

真相大白:原来是多年前误吞了一颗假牙

经过仔细辨认,原来是厚厚的痰痂包裹一金属异物,剥开外层,中间赫然躺着一颗假牙。据李阿姨事后回忆,多年前曾经在家门口的牙科诊所取过一颗假牙。当时没什么感觉,但仔细想来,拔牙后没多久就出现了咳嗽的症状。

“假牙误吸入气管,恰巧堵塞左肺支气管入口,最终导致了这一切的发生?!敝旒势街魅伪硎?,异物幸好被及时取出,否则不仅会加重肺部感染,长此以往,左肺功能也将完全丧失。

编辑:秦云

关键词:误吞假牙 左肺消失 六旬老太

更多

更多